Photography by James T. Rutka Worth The Norwegian Hospitality Recently, my wife and I had the...
Synaptic Transmissions
SYNAPTIC TRANSMISSION – Worth The Norwegian Hospitality
By Dr. James T. Rutka
Location: Toronto – Canada
SYNAPTIC TRANSMISSIONS – On The Road To Enlightenment
By Dr. James T. Rutka
Location: Toronto — Canada
On The Road To Enlightenment On a recent trip to Hong Kong, I had the opportunity...
A Medical Discovery That Changed The World
By Dr. James T. Rutka
Location: Toronto – Canada
A Medical Discovery That Changed The World This year marks the 90th year celebrating the discovery of insulin, the hormone released by...
Asclepius And The Healing Power Of The Spa
By Dr. James T. Rutka
Location: Toronto – Canada
Asclepius And The Healing Power Of The Spa I have been a physician now for over 30 years. As a graduating medical student,...
SYNAPTIC TRANSMISSIONS – Neurosurgical Mission To Ukraine
By Dr. James T. Rutka
Location: Toronto - Canada
Neurosurgical Mission To Ukraine Last year, I had the distinct honor and privilege of serving on...
SYNAPTIC TRANSMISSIONS – Worth The Trek
By Dr. James T. Rutka
Location: Toronto – Canada
Worth The Trek On the north coast of the island of Kauai, Hawaii, there is a...
A Sound Mind In A Sound Body
By Dr. James T. Rutka
Location: Toronto – Canada
For the past 20 years, our family has taken part of our summer vacation in the wilderness of Ontario, Canada’s Killarney...
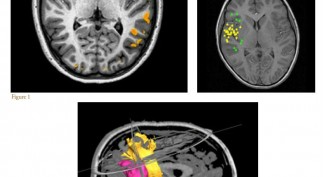
In The Mind’s Eye
By Dr. James T. Rutka
Location: Toronto – Canada
The human brain is an incredible organ about which, in comparison to other organs, relatively less is known regarding its function and networks of...
SYNAPTIC TRANSMISSION – Worth The Norwegian Hospitality
By Dr. James T. Rutka
Location: Toronto – Canada
SYNAPTIC TRANSMISSIONS – On The Road To Enlightenment
By Dr. James T. Rutka
Location: Toronto — Canada
On The Road To Enlightenment On a recent trip to Hong Kong, I had the opportunity...
A Medical Discovery That Changed The World
By Dr. James T. Rutka
Location: Toronto – Canada
A Medical Discovery That Changed The World This year marks the 90th year celebrating the discovery of insulin, the hormone released by...
Asclepius And The Healing Power Of The Spa
By Dr. James T. Rutka
Location: Toronto – Canada
Asclepius And The Healing Power Of The Spa I have been a physician now for over 30 years. As a graduating medical student,...
SYNAPTIC TRANSMISSIONS – Neurosurgical Mission To Ukraine
By Dr. James T. Rutka
Location: Toronto - Canada
Neurosurgical Mission To Ukraine Last year, I had the distinct honor and privilege of serving on...
SYNAPTIC TRANSMISSIONS – Worth The Trek
By Dr. James T. Rutka
Location: Toronto – Canada
Worth The Trek On the north coast of the island of Kauai, Hawaii, there is a...
A Sound Mind In A Sound Body
By Dr. James T. Rutka
Location: Toronto – Canada
For the past 20 years, our family has taken part of our summer vacation in the wilderness of Ontario, Canada’s Killarney...
In The Mind’s Eye
By Dr. James T. Rutka
Location: Toronto – Canada
The human brain is an incredible organ about which, in comparison to other organs, relatively less is known regarding its function and networks of...